کارکرد اصلی لثه این است که دندانها را احاطه کند و آنها را در جای خود محکم نگه دارد. سلامت لثه با سلامت دندانها ارتباط مستقیم دارد، بیماری و بهداشت دندان روی لثه اثر میگذارد و اگر دندانها کاملا سالم باشد ولی لثه آسیب ببیند و از بین برود ممکن است تمام دندانها از دست بروند. به همین دلیل باید سلامت و بیماری لثه را بسیار جدی گرفت.
بیماری لثه زمانی شروع میشود که باکتری در دهان رشد میکند و علت اصلی این است که دندانها را به اندازه کافی مسواک نزنید و نخ دندان نکشید، مسواک زدن اشتباه هم دندانها را تمیز نمیکند و باکتریها در دهان رشد میکنند. تقریبا نیمی از افراد ۳۰ ساله و بالاتر علائم بیماری لثه دارند و بیماری لثه در حدود ۹ درصد از بزرگسالان شدید است.
در این مقاله میخوانید:
- بیماری لثه چیست؟
- چرا لثه عفونت میکند؟
- مراحل شکلگیری و پیشرفت بیماری لثه
- دلایل بیماری لثه
- چه چیزی خطر بیماری لثه را افزایش میدهد؟
- علائم بیماری لثه
- پیشگیری از بیماری لثه
- آیا عفونت لثه مسری است؟
بیماری لثه چیست؟
یکی از بیماریهای شایع این بافت مهم عفونت لثه است که شاید دندانپزشک آن را بیماری پریودنتال یا پریودنتیت بنامد. درمان نشدن بیماری لثه میتواند باعث تورم، قرمزی، درد و از دست دادن دندان شود. التهاب لثه یا به قول دنداپزشکان ژنژیویت، باعث تورم، قرمزی و خونریزی در قسمتی از لثه میشود که با دندانها در تماس است و آنها را نگه میدارد. این وضعیت یک نوع خفیفتر از بیماری لثه است که اگر درمان نشود ممکن است به عفونت لثه منجر شود.

چرا لثه عفونت میکند؟
وقتی مسواک نمیزنید (یا مسواک زدن شما درست نیست)، نخ دندان نمیکشید و دندانها را به اندازه کافی نمیشویید، یک لایه چسبنده از باکتریها و مواد غذایی به نام پلاک اطراف دندانها ایجاد میشود. اسیدهایی از مواد باقیمانده روی دندانها آزاد میشود که به مینای دندان حمله میکنند و باعث پوسیدگی آنها میشوند. پلاکها و مواد روی دندان پس از ۷۲ ساعت، به جرم تبدیل میشوند که در امتداد خط لثه شکل میگیرند و تمیز کردن کامل دندانها و لثهها را سخت میکنند. با گذشت زمان، تجمع جرم و پلاکها لثه را تحریک و ملتهب میکند و باعث التهاب و عفونت لثه میشود.

با طولانی شدن التهاب، لایه داخلی لثه از استخوان و دندانها فاصله میگیرد و فضاهای خالی بین لثه و دندان ایجاد میشود. این فضاهای کوچک محلی برای تجمع ذرات ریز غذاها و آلودگی هستند و با گذشت زمان تحمع باکتری در آنها زیاد و به عفونت لثه منجر میشود. تجمع پلاکها آنقدر بالا میرود که سیستم ایمنی بدن وارد عمل میشود تا با عفونت و باکتری مبارزه کند.
پیشرفت بیماری لثه
اگر به کمک سیستم ایمنی نروید و بیماری و عفونت لثه را درمان نکنید، سمومی که باکتریهای پلاکهای دندانی تولید میکنند و همچنین آنزیمهای خوب بدن که در مبارزه با عفونتها نقش دارند، شروع به تجزیه استخوان و بافت همبند نگهدارندهی دندانها میکنند. با پیشرفت بیماری و عفونت، فضاهای خالی عمیق میشوند و بافت لثه و استخوان بیشتری از بین میرود. وقتی بیماری به این مرحله میرسد، دندانها دیگر در جای خود ثابت نمیمانندد، لق میشوند و کمکم میافتند و از دست میروند. در واقع بیماری لثه علت اصلی از دست دادن دندان در بزرگسالان است، نه پوسیدگی یا خرابی.

مراحل شکلگیری و پیشرفت بیماری لثه
عفونت لثه چهار مرحله دارد که از تورم و قرمزی شروع میشود و اگر در مراحل اولیه درمان را آغاز نکنید و جدی نگیرید، با آسیب استخوانی و از دست رفتن دندانها خاتمه پیدا میکند.
۱. التهاب لثه
در مرحلهی ابتدایی احتمالا لثهها قرمز میشوند که این تغییر رنگ با تورم همراه است. لثهها ممکن است موقع مسواک زدن خونریزی داشته باشند اما دندانها هنوز سر جایشان هستند. بیماری لثه در این مرحله درمان شدنی است و بافت آن به وضعیت قبل برمیگردد.
۲. عفونت لثه خفیف
در این مرحله باکتریهای بیماریزا زیر لثه تجمع و رشد کرده و به استخوان راه پیدا کردهاند. در این مرحله لثه کمکم از روی دندانها عقب میرود و فضاهای خالی بین لثه و دندان شکل میگیرد. پلاک و جرم این فضاهای خالی را پر میکند و محیط مناسبی برای رشد باکتریها میشود که به دندانها آسیب بیشتری میزند.
۳. عفونت لثه متوسط
باکتریها لثه و استخوانها را از بین میبرند، همان بخشهایی که دندانها را سر جایشان محکم نگه میدارند. احتمالا لثهها تغییر شکل میدهند و مشکل پیدا میکنند، مثلا خونریزی زیاد. ممکن است چرکی در امتداد خط لثه ببینید که نشانهی عفونت است.
۴. عفونت لثه پیشرفته و شدید
استخوان دندان و بافت اطراف دندانها آسیب بیشتری میبیند و دندانها که لقه شدهاند، شروع به افتادن میکنند.
دلایل بیماری لثه
پلاکهای دندانی عامل اصلی شروع و پیشرفت بیماری لثه هستند که به این صورت شکل میگیرند و باعث بیمار میشوند:
پس از خوردن غذاهای شیرین یا نشاستهای (یعنی نان، برنج، سیبزمینی و…)، باکتریها روی دندانها جمع میشوند. بهترین کار این است که حداکثر ۱۵ تا ۲۰ دقیقه پس از خوردن هر مادهی غذایی دندانهایتان را بشویید. لازم نیست چندین بار در روز مسواک بزنید. فقط دندانها را با آب یا آبنمک بشویید تا فضای دهان اسیدی نشود و آسیب به دندانها کاش یابد.

غیر از این باید حداقل روزی یک بار درست و به مدت زمان کافی مسواک بزنید و یک بار درست و کامل نخ دندان بکشید. اگر چنین نباشد، باکتریها فرصت پیدا میکنند پلاکهای دندانی را تشکیل بدهند که لایه چسبناکی است و به راحتی از بین نمیروند و در مراحل بعد بیماری لثه شروع میشود.
چه چیزی خطر بیماری لثه را افزایش میدهد؟
همه افراد به یک اندازه در خطر بیماری لثه نیستند و سابقه خانوادگی و ژنتیکی در این مسئله موثر است، همینطور بعضی اوقات تغییرات وضعیت جسمی میتواند احتمال و سرعت ابتلا به بیماری لثه را افزایش دهد. مواردی مانند:
- تغییرات هورمونی در دوران بارداری، بلوغ، یائسگی و قاعدگی لثهها را حساستر میکند و ایجاد التهاب لثه را آسانتر میکند.
- ابتلا به بیماریهایی مانند سرطان، ایدز یا آلودگی به ویروس HIV و دیابت خطر ابتلا به انواع عفونتها از جمله بیماری لثه را افزایش میدهند.
- بزاق دهان تاثیر و اهمیت زیادی برای حفظ بهداشت دهان و دندان دارد ولی برخی از داروها آن را کاهش میدهند، از جمله داروهای ضد تشنج یا داروهای ضد درد آنژین. کاهش بزاق و خشکی دهان، تخریب دندان و بیماری لثه را بیشتر میکند.
- سیگار، قلیان و هر نوع دخانیات دیگر سلامت و ترمیم بافت لثه را دچار مشکل میکند.
- عادات بد بهداشت دهان مانند مسواک نزدن و نخ دندان نکشیدن روزانه میتواند منجر به التهاب لثه شود.
- سابقه خانوادگی و ژنتیکی بیماریهای دندانی خطر ابتلا به بیماری لثه را افزایش میدهد.
- دندان قروچه و ساییدن دندانها که مدت زیادی ادامه پیدا کند به دندان و لثه آسیب میزند.
علائم بیماری لثه
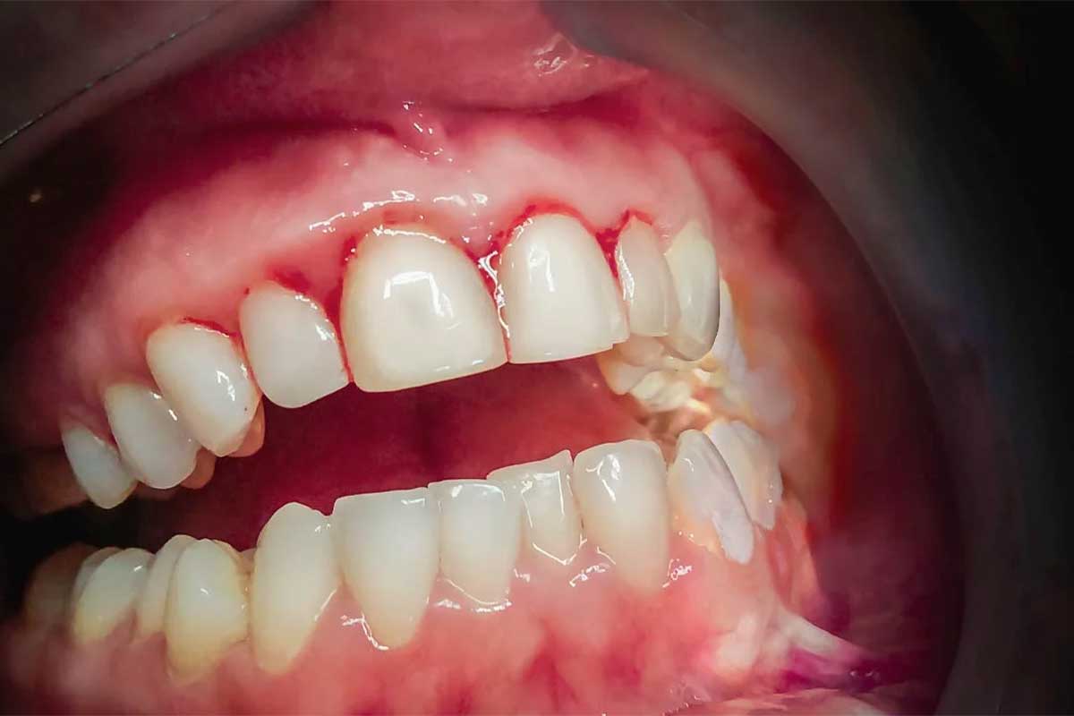
اگرچه تشخیص نشانههای بیماری لثه در مراحل اولیه برای افراد عادی دشوار است، اما معمولاً علائم هشداردهنده وجود دارد که باید به آنها توجه شود. شایعترین نشانههای بیماری لثه موارد زیر هستند:
- خونریزی لثهها حین مسواک زدن
- خونریزی لثه شبها و در طول خواب
- خونریزی لثه بر اثر خوردن مواد غذایی سفت
- لثههای قرمز و متورم (لثه سالم باید صورتی و سفت باشد)
- درد یا حساسیت در لثهها
- بوی بد دهان یا طعم بد دهان که از بین نمیرود
- احساس درد هنگام جویدن (خصوصا جویدن خوراکیهای سفت)
- دندانهای حساس
- وچود چرک بین دندانها
- فاصله بین داندان و لثه
- عقب نشستند لثهها از بالای دندانها
- وجود فضای خالی بین دندانها و لثهها
- لق شدن یا افتادن دندانها
- فاصله بین دندانها شما که شبیه مثلثهای سیاه است
- تغییر در نحوه قرار گرفتن دندانها هنگام گاز گرفتن
این نشانهها در همه افراد مشترک نیست یا احتمال دارد هر کدام در مرحلهای از بیماری دیده شوند یا نه. در برخی از افراد، بیماری لثه ممکن است فقط روی برخی از دندانها مانند دندان آسیاب تاثیر بگذارد. فقط یک دندانپزشک میتواند با اطمینان بگوید بیماری لثه دارید یا مشکلتان چیز دیگری است.
پیشگیری از بیماری لثه
بهداشت صحیح دهان و دندان روش اصلی تقریباً هر روشی که بهداشت دهان و دندان را ارتقا بدهد و جلوی شکلگیری پلاکها را بگیرد، میتواند التهاب لثه را کاهش بدهد و جلوی بدتر شدن بیماری لثه را هم بگیرد.
معکوس کرد و از بدتر شدن بیماری لثه جلوگیری کرد. کنترل صحیح پلاک شامل تمیز کردن حرفه ای حداقل دو بار در سال و مسواک زدن روزانه و نخ دندان کشیدن است.
-
دندان های خود را دو بار در روز مسواک بزنید.
از مسواک با پرزهای نرم و خمیردندان حاوی فلوراید استفاده کنید. مسواکهای قدیمی و فرسوده دندانها را تمیز نمیکنند. مسواک خود را هر ۳ ماه یک بار یا در صورت ساییدگی موها زودتر تعویض کنید.
-
نخ دندان بکشید
مسواک زدن بدون نخ دندان، اثر کمی دارد. نخ دندان، ذرات غذا و پلاک را از بین دندانها و زیر خط لثه پاک میکند. هر روز نخ دندان بکشید. منتظر نمانید تا چیزی بین دندان هایتان گیر کند. نخ دندان کشیدن روزانه پلاکها را از جاهایی که مسواک به آن نمیرسد خارج میکند.
-
دهان را مرتب بشویید.
یکی از بهترین چیزها برای شستشو و ضدعفونی دهان آبنمک رقیق است. روزی چند بار و خصوصا پس از خوردن هر مادهی غذایی دهان را با آبنمک بشویید. بهتر است دهانشویه را فقط با تجویز پزشک استفاده کنید و مدت استفاده هم طولانی نباشد.
-
سیگار نکشید.
سیگار نه تنها برای قلب و ریهها مضر است، به دندانها و لثهها نیز آسیب میزند. افراد سیگاری هفت برابر بیشتر از دیگران در خطر ابتلا به بیماری لثه هستند و سیگار کشیدن می تواند احتمال موفقیت برخی درمانها را کاهش دهد.
-
رژیم غذایی متعادل داشته باشید.
باکتریهای موجود در دهان از قندها و نشاستههای غذا تغذیه میکنند و سوخت میگیرند تا اسید آزاد و به مینای دندان حمله کنند. غذاهای ناسالم که مقدار زیادی شکر و نشاسته دارند، آسیب بیشتری به دندانها میزنند.
از طرفی تغذیه مناسب سیستم ایمنی بدن را برای مقابله با انواع بیماری و عفونت تقویت میکند. خوردن غذاهای حاوی آنتیاکسیدان – به عنوان مثال غذاهای حاوی ویتامین E (روغنهای گیاهی، آجیل، سبزیجات برگ سبز) و ویتامین C (مرکبات، کلم بروکلی، سیبزمینی) – میتواند به بدن در ترمیم بافتهای آسیبدیده کمک کند.
آیا عفونت لثه مسری است؟
در حالت عادی عفونت دهان و دندان از فردی به فرد دیگر منتقل نمیشود ولی اگر دو نفر وضعیت بهداشت دهان و دندان خوبی نداشته و مستعد بیماری باشند، انتقال باکتریهای بیماریزا میتواند دیگری را هم مبتلا کند. بوسیدن، استفاده از ظرف یا قاشق مشترک و هر روشی که بزاق دهان را بین افراد جابجا کند میتواند باعث انتقال باکتری و شروع عفونت در فرد دیگر هم بشود.


[…] گزارش دیده بان سلامتی و به نقل از سایت شرکت نسیم سلامت خاتم؛ به همین دلیل باید سلامت و بیماریلثه را بسیار جدی […]